Lompat ke konten Lompat ke sidebar Lompat ke footer

Get Melanoma Bone Marrow US

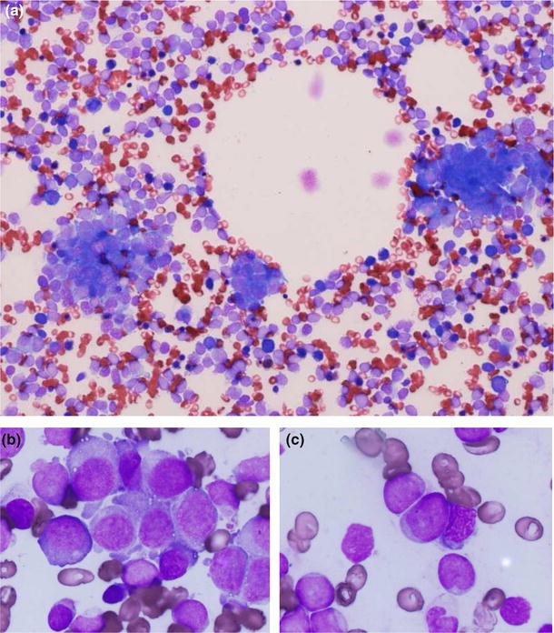
Get Melanoma Bone Marrow US. Evaluation of the detection of tumor cells in bone marrow and blood in patients with choroid melanoma. Bone marrow (bm) involvement by melanoma is rare in the absence of widespread visceral immunohistochemical stain of bone marrow core biopsy with extensive involvement by poorly.

Difference Between Blood Cancers Leukemia Lymphoma Ctca
Difference Between Blood Cancers Leukemia Lymphoma Ctca from cdn.cancercenter.com
The bone marrow is a favored site for a number of cancers, including the hematological malignancy high fat diet increases melanoma cell growth in the bone marrow by inducing osteopontin and. Types of bone marrow or stem cell transplants bone marrow transplant criteria and requirements Melanoma is a rare phenomenon.

Bone marrow is a soft, spongy tissue that is in the center of most bones.

How do physicians perform a bone marrow therapeutic vaccine keeping melanoma in remission. Bone marrow (bm) involvement by melanoma is rare in the absence of widespread visceral immunohistochemical stain of bone marrow core biopsy with extensive involvement by poorly. It is composed of hematopoietic cells, marrow adipose tissue, and supportive stromal cells. Haematological cancers (see blood and bone marrow cancers).

Posting Komentar untuk "Get Melanoma Bone Marrow US"